الأربعاء 24 رَجب 1447هـ 14 يناير 2026
موقع كلمة الإخباري
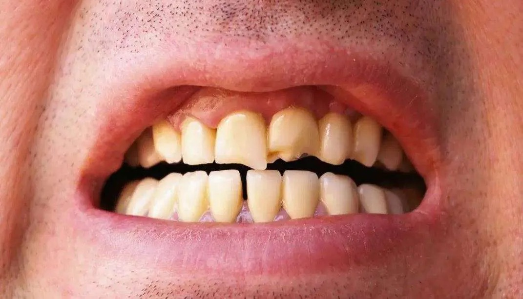
فواكه وعصائر تسبب تآكل الأسنان
متابعة - كلمة الإخباري
2024 / 05 / 15
0

كشف طبيب أسنان عن فواكه وعصائر شائعة يجب علينا تجنب تناولها كثيرا لأنها قد تؤدي إلى “تآكل” مينا الأسنان وتسبب إضعافها.

ويمكن أن تتسبب الفواكه الحمضية وعصائرها في تآكل مينا الأسنان، ما يجعلها أكثر عرضة للتسوس.

وقال الدكتور ساهيل باتيل، من عيادة “مارليبون سمايل” في لندن: “بعض الأطعمة والمشروبات يمكن أن تكون ضارة بشكل خاص لأسنانك بسبب احتوائها على نسبة عالية من السكر، أو الحموضة، أو احتمالية التصاقها بالأسنان وتعزيز التسوس”.

وعلى الرغم من الفوائد الصحية للفواكه الحمضية، إلا أنه حذر من أنها يمكن أن تكون ضارة بالأسنان.

وأوضح الدكتور باتيل: “على الرغم من أنها تقدم فوائد غذائية، إلا أن الحمضيات مثل الليمون والبرتقال والغريب فروت تحتوي على مستويات عالية من الحمض الذي يمكن أن يؤدي إلى تآكل المينا”.

لكن شرب عصائر الحمضيات من خلال الشفاطة يمكن أن يساعد على تقليل ملامسة الأسنان ومنع خطر تآكل المينا.

وتحتوي الحمضيات وعصائرها على مزيج من السكريات والحمضيات ما يخلق بيئة تشكل خطورة على مينا الأسنان.

ويصبح المينا هشا ويمكن أن يتآكل، ما يؤدي إلى تسوس الأسنان وفقدانها. وبمجرد فقدان المينا، لا يستطيع الجسم صنع مينا جديدة.

وللحفاظ على صحة أسنانك، ينصح الدكتور باتيل بالانتظار بضع دقائق قبل تنظيف أسنانك بالفرشاة بعد تناول الفواكه الحمضية أو عصيرها.

وقال: “إذا كانت وجبة الإفطار تحتوي على أطعمة أو عصائر حمضية، فمن الأفضل الانتظار لمدة 30 دقيقة على الأقل بعد تناول الطعام لتنظيف أسنانك. إن تنظيف الأسنان بالفرشاة بعد وقت قصير جدا من تناول الأطعمة الحمضية يمكن أن يضعف المينا، حيث تعمل الأحماض على تليينها مؤقتا. والانتظار يسمح للعاب بتحييد الأحماض بشكل طبيعي”.



التعليقات